Cabinet du Docteur Faouzi ELMAI
Chirurgien-Dentiste à Paris 18ème

88 bis, rue Damrémont
75018 PARIS

Cabinet du Docteur Faouzi ELMAI
Chirurgien-Dentiste à Paris 18ème

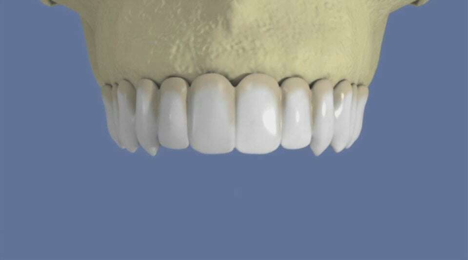
Maxillaire : bridge vissé sans fausse gencive


video-play-icon

Articles similaires

Création par Webdentiste

Connexion